Le Informazioni Presenti Sul Sito Non Costituiscono Consulenza Medica. Non Vendiamo Nulla. L'Accuratezza Della Traduzione Non È Garantita. Disclaimer



Cancro renale: sintomi, fasi e trattamento

Come accade?

Kidney cancer occurs when cells grow abnormally within the kidneys.

Il lavoro principale di questi organi è filtrare i rifiuti dal sangue e fare pipì. Ma aiutano anche a controllare la pressione sanguigna e assicurati di avere abbastanza globuli rossi. Il carcinoma renale chiamato anche carcinoma a cellule renali si verifica quando le cellule in una o entrambi iniziano a crescere fuori controllo e formare un tumore che affolla le cellule sane. Questo tipo di cancro è uno dei 10 più comuni sia negli uomini che nelle donne.

Cosa evitare quando si prendi amoxicillina

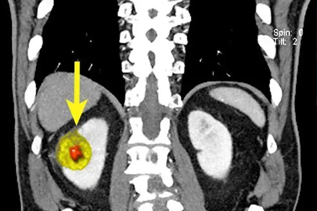
Carcinoma a cellule renali (RCC)

Mentre ci sono molti tipi di cancro ai reni 9 su 10 persone che hanno questo tipo. Di solito è un tumore all'interno di un rene ma può essercene più di uno e possono accadere in entrambi i reni.



Chi lo prende?

La maggior parte delle persone con diagnosi di cancro ai reni ha tra 50 e 70 anni. Gli uomini hanno 2-3 volte più probabilità di ottenerlo rispetto alle donne e agli afroamericani hanno maggiori possibilità di ottenerlo rispetto ad altri gruppi. La malattia renale dell'ipertensione e alcuni problemi con i tuoi geni come la malattia di von Hippel-Lindau possono anche aumentare le tue possibilità. Può funzionare anche nelle famiglie.



Altre cose che aumentano le tue probabilità

È più probabile che lo capisca se:

  • Fumi: questo raddoppia il tuo rischio. Si ritiene che causi il 30% dei tumori renali negli uomini e il 25% nelle donne.
  • Hai un peso extra: le persone che sono in sovrappeso o obese hanno quasi il doppio delle probabilità di ottenere RCC.
  • Hai esposizione a determinate sostanze sul posto di lavoro come cadmio o tricloroetilene.

Sintomi

Se hai un piccolo tumore potresti non notare segni ma quelli più grandi possono causare questi problemi:



  • Sangue nella tua pipì
  • Un nodulo sul tuo fianco o nella parte bassa della schiena
  • Lombalgia
  • Sentirsi stanco
  • Perdita di peso senza motivo

Diagnosi: esami del sangue e del sangue

Il tuo medico ti darà un esame. Se pensano che potresti avere il cancro renale, probabilmente inizieranno con l'analisi delle urine che mette alla prova la tua pipì per il sangue o le cellule tumorali. Potrebbero anche fare un esame del sangue per vedere quanto funzionano i tuoi reni e un numero completo di emocromo per assicurarsi di avere un numero sano di globuli bianchi e globuli rossi e piastrine. Le persone con cancro ai reni hanno spesso anemia - quando non hai abbastanza globuli rossi.

Diagnosi: test di imaging

Il medico può fare scansioni per dare un'occhiata più da vicino ai reni:

  • Ultrasuoni: le onde sonore realizzano immagini in bianco e nero sullo schermo di un computer.
  • Scansione di tomografia computerizzata (CT): i raggi X di diversi angoli vengono messi insieme per creare un quadro più completo.
  • Scansione di risonanza di imaging magnetico (MRI): i magneti e le onde radio realizzano immagini dettagliate.

Biopsia

Con i tumori renali le biopsie sono raramente necessarie e sono fatte solo in situazioni molto rare. Se il medico decide, è necessario, consiglierà un intervento chirurgico di prelevare un piccolo campione dal tumore con un ago in modo che possa essere testato. In un caso come la biopsia viene utilizzata per dire con certezza se ciò che hai è il cancro.

Voti

Se si scopre che hai il cancro che il medico vorrà provare a prevedere quanto velocemente può crescere. Lo faranno in base a quanto le cellule tumorali abbiano quelle sane. Il cancro renale può essere di grado 1 2 3 o 4 - le cellule di grado 4 sembrano molto diverse da quelle normali e tendono a crescere più velocemente.

Staging

Il medico cercherà anche di dire fino a che punto il cancro si è diffuso: può essere lo stadio II III o IV. Una fase I Cancer è solo nel tuo rene mentre una fase IV si è diffusa ad altre parti del tuo corpo.

Piano di trattamento

Il medico formerà raccomandazioni basate sul tipo di cancro renale che hai il grado e la fase del cancro della tua età e di qualsiasi altro problema di salute che potresti avere.

Aspetta e guarda

Il medico può suggerire questo approccio se il tumore è piccolo. Vorranno spesso test per vedere se inizia a crescere rapidamente o diventa più grande di un pollice e mezzo.

Chirurgia

Questo è il trattamento più comune. Il medico può eliminare solo la parte del rene dove si trova il tumore e lasciare che la parte sana continui a lavorare. In altri casi potrebbe essere necessario rimuovere - la maggior parte delle persone va bene con solo uno.

Tumore distruttori

Se non sei in grado di sottoporsi a un intervento chirurgico per eliminare il tumore, il medico potrebbe provare a distruggerlo. Potrebbero usare le onde radio per riscaldare il tumore o i gas freddi per congelarlo. Questi possono uccidere le cellule tumorali senza ferire il rene. Se il tuo cancro sta causando un sacco di sanguinamento, potrebbe bloccare l'arteria che porta sangue al rene. Ma questo uccide non solo il tumore ma anche il tuo rene.

Terapia mirata

I tumori renali producono la propria rete di vasi sanguigni che li permettono. Un nuovo tipo di droga prende di mira questi vasi ma lascia soli normali. Senza sangue il tumore smette di crescere o addirittura si restringe. Questa terapia viene utilizzata per trattare il cancro a cellule renali più avanzato. Altre terapie mirate bloccano una proteina chiamata mTOR che aiuta le cellule tumorali a crescere.

Immunoterapia

L'idea è quella di aumentare il tuo sistema immunitario in modo che possa combattere o uccidere le cellule tumorali. Il medico può suggerirlo se la terapia mirata non funziona per te o può raccomandare che i due vengano usati insieme.

Chemioterapia

Questa è una combinazione di potenti farmaci usati per uccidere le cellule che stanno crescendo rapidamente. Non sembra funzionare bene contro il cancro ai reni, ma il medico potrebbe provarlo se altri trattamenti non hanno funzionato.

Radiazione

Questo trattamento utilizza raggi ad alta energia per uccidere le cellule tumorali o ridurre i tumori. Ma il cancro renale non è molto sensibile alle radiazioni, quindi non è fatto spesso. Potresti ottenerlo se non puoi avere un intervento chirurgico o per aiutare con sintomi come dolore o sanguinamento. Potresti anche averlo se il cancro si è diffuso in altre parti del tuo corpo come le ossa o il cervello.

Studi clinici

I ricercatori stanno lavorando per trovare nuovi trattamenti. Se fai volontariato per far parte di una sperimentazione clinica, potresti ottenere un trattamento all'avanguardia anni prima che le altre persone possano. Parla con il tuo medico o chiama la linea di prova clinica della American Cancer Society al numero 800-303-5691 per trovare studi vicino a te.

Cancro renale: fasi dei sintomi e trattamento

Fonti:

Immagini fornite da:

  1. Pasieka / Getty Images
  2. Living LLC / Getty Images
  3. MonkeyBusinessImages / Thinkstock
  4. Wavebreakmedia Ltd / Thinkstock
  5. Chesiirecat / Thinkstock
  6. Banchamat1234 / Thinkstock
  7. Media per immagini mediche / collaboratrici / getty
  8. Garo / Phanie / Getty Images
  9. ISM / Jean-Claude Révy / Medical Images
  10. Immagini BSIP / collaboratore / Getty
  11. BowdenImages / Thinkstock
  12. Charles Milligan / Medical Images
  13. Chanawit / Thinkstock
  14. Kevin Somerville / Immagini mediche
  15. turk_stock_photographer / thinkstock
  16. Selvanegra / Thinkstock
  17. klbz / pixabay
  18. Immagini Snowleopard1 / Getty
  19. PointImages / Thinkstock

Riferimenti:

  • American Cancer Society: Cancro renale Se hai il cancro renale What is Kenney Cancer Sorveglianza attiva per il cancro renale Chirurgia per il cancro renale Ablazione e altre terapia locale per il cancro renale terapia biologica (immunoterapia) per il cancro renale le basi delle basi cliniche.
  • American Society of Clinical Oncology: Fattori di rischio per il cancro renale e prevenzione.
  • National Cancer Institute: Obesità e Cancro Terato di cancro alle cellule renali (PDQ®) - Versione del paziente.
  • MD Anderson Cancer Center: Trattamento del cancro al rene.

Questo strumento non fornisce consulenza medica. Vedere ulteriori informazioni:

Questo strumento non fornisce consulenza medica. È destinato solo a scopi informativi generali e non affronta circostanze individuali. Non è un sostituto della diagnosi o del trattamento di consulenza medica professionale e non dovrebbe essere invocato per prendere decisioni sulla tua salute. Non ignorare mai la consulenza medica professionale nella ricerca di cure a causa di qualcosa che hai letto sul sito RXLIST. Se ritieni di poter avere un'emergenza medica, chiama immediatamente il medico o componi il 911.

© 1996-2025 WebMD LLC . Tutti i diritti riservati.